Endroprothetik
Sind die konservativen Therapien und gelenkerhaltenden Maßnahmen ausgeschöpft und bringen keine zufriedenstellenden Ergebnisse mehr, kann ein künstliches Gelenk eingesetzt werden, um die Lebensqualität wieder zu verbessern.
In unseren Praxen sind wir auf beide Behandlungsansätze gleichermaßen spezialisiert, den Gelenkerhalt und den Gelenkersatz.
Wir bieten die gesamte breite Palette von Leistungen für unsere Patienten aus einer Hand. Unsere langjährige Erfahrung auf dem operativen Gebiet bietet unseren Patienten die Sicherheit, von Anfang an in guten Händen zu sein.
Operative Felder können sein:
- Gelenkerkrankungen wie Arthritis oder Arthrose
- Verletzungen oder Unfällen (auch Sportunfällen)
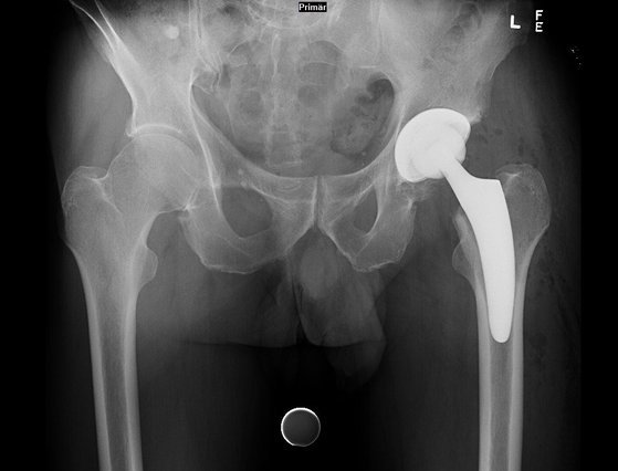
- Hüftgelenk (Erkrankungen oder Verletzungen)
- Kniegelenk (Erkrankungen oder Verletzungen)
Unser Endoprothetikbereich ist voll und ganz auf den Ersatz zerstörter Gelenkflächen oder Gelenke spezialisiert.
Um medizinisch optimal zu versorgen, sind gerade bei der Endoprothetik die neusten OP-Techniken und modernste Standards auf höchstem Niveau erforderlich. Durch die Mitgliedschaft europaweit agierender Gesellschaften ist unsere Endoprothetik hoch spezialisiert und immer auf dem neuesten medizinischen Stand.
Durch die minimalinvasiven muskelschonenden Techniken, ist eine frühzeitige Mobilisierung und Bewegungstherapie möglich. So sind unsere Patienten nach der Operation schneller wieder aktiv, haben deutlich weniger Schmerzen und Bewegungseinschränkungen. Bis zur vollen Belastungsfähigkeit benötigen sie daher nur noch eine kurze Rehabilitationsphase.
Als Belegärzte führen wir diese Operationen im modernen Isarklinikum in München durch, die Ihre Versorgung vor Ort sichert. Die Visiten werden von uns durchgeführt. Zusätzlich sind die Ärzte des Isarklinikums als Ansprechpartner durchgehend vor Ort.


